Uras Umemoto Dental Clinic
Home
クリニック紹介
初めての方へ
診療内容
歯列矯正
診療時間・地図
リンク
歯列矯正
/ うらす梅本歯科 歯列矯正治療例
うらす梅本歯科 歯列矯正治療例
上顎前突 歯列矯正治療例 【上段:初診時の写真 下段:矯正終了時の写真】
口 元
上顎前突歯列矯正 初診時
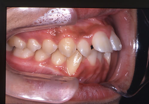
口腔内 右側
上顎前突歯列矯正 初診時
口腔内 下顎側
上顎前突歯列矯正 初診時
口腔内 左側
上顎前突歯列矯正 初診時
口腔内 上顎側
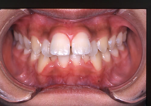
上顎前突歯列矯正 初診時
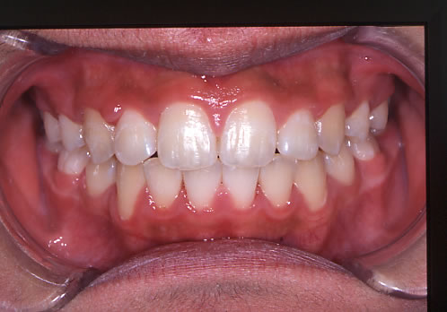
口腔内 正面
上顎前突歯列矯正 初診時
口 元
上顎前突歯列矯正 終了時
口腔内 右側
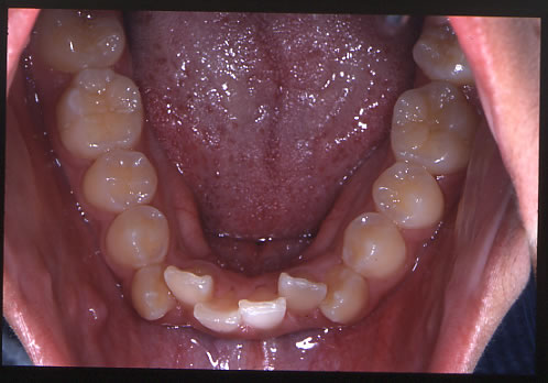
上顎前突歯列矯正 終了時
口腔内 下顎側
上顎前突歯列矯正 終了時
口腔内 左側
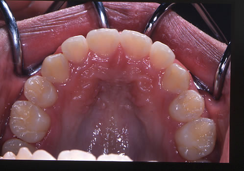
上顎前突歯列矯正 終了時
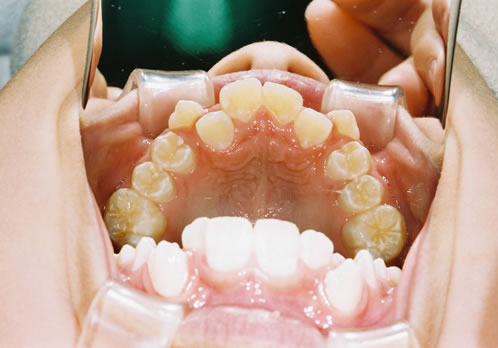
口腔内 上顎側
上顎前突歯列矯正 終了時
口腔内 正面
上顎前突歯列矯正 終了時
叢生【そうせい】(歯並びのガタガタ、乱杭歯、八重歯)非抜歯 歯列矯正治療例 【上段:初診時の写真 下段:矯正終了時の写真】
口 元
叢生非抜歯 歯列矯正 初診時
口腔内 右側
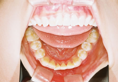
叢生非抜歯 歯列矯正 初診時
口腔内 下顎側
叢生非抜歯 歯列矯正 初診時
口腔内 左側
叢生非抜歯 歯列矯正 初診時
口腔内 上顎側
叢生非抜歯 歯列矯正 初診時
口腔内 正面
叢生非抜歯 歯列矯正 初診時
口 元
叢生非抜歯 歯列矯正 終了時
口腔内 右側
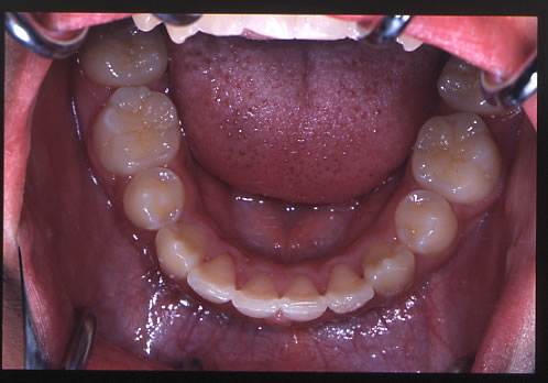
叢生非抜歯 歯列矯正 終了時
口腔内 下顎側
叢生非抜歯 歯列矯正 終了時
口腔内 左側
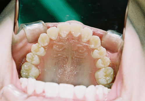
叢生非抜歯 歯列矯正 終了時
口腔内 上顎側
叢生非抜歯 歯列矯正 終了時
口腔内 正面
叢生非抜歯 歯列矯正 終了時